義歯(入れ歯)
義歯(入れ歯)

義歯(入れ歯)
良い入れ歯とはお口の中でがたがた動かず、咬みあわせが安定している入れ歯です。そうするとなんでも咬めて使いやすく感じるのです。それは総入れ歯でも部分入れ歯でも同じです。当院ではそのための前準備に時間をかけて丁寧に治療を行います。使い心地の良い、永く使える入れ歯を是非お勧めします。
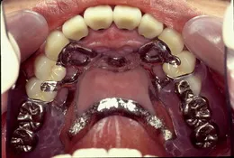
部分入れ歯(パーシャルデンチャー)
部分入れ歯とは一部の歯を失った部位に取り外しの入れ歯を用いて治療する方法です。
残っている歯に特殊な金具を使って入れ歯を取り付けます。部位によっては金具が見えることもあります。
「部分入れ歯は使いづらい?」こんな不安をお持ちの方や実際に不満を感じている方も多いかもしれません。現在ではインプラントもかなり普及していますが、インプラントと部分入れ歯とを比べると正直なところ使いやすさ、咬みやすさではインプラントに軍配が上がります。しかし、部分入れ歯でも工夫して精密に仕上げることによって驚くほど使いやすいものにできるのです。
当院での部分入れ歯の特徴:残っている歯を診査し徹底した治療を行います。歯を失い始めたらもうあるがままでは健康な状態を保てません。抜いて傷が治ったらすぐに入れ歯を入れることは他の歯の寿命も短くしてしまうかも知れません。
金具がかかる歯の整備をします。おもにかぶせ物を使って環境整備を行います。
精度の良い金属フレームを採用しています。当院では日本の金属フレーム製作のパイオニアである川島哲氏が製作したものを使用しています。精度が不十分なものは再製作していますので安心しておまかせ下さい。

(部分入れ歯を入れるためには残っている歯に前処置を行い整備が必要となります。)

(残っている歯にかぶせ物等で整備しておくとぴったりと入れ歯が適合して『動かない入れ歯』を装着することができます。)

(金属フレームの入れ歯は薄くて強度があるためお口の中での異物感をあまり感じません。)

(残っている歯の整備には『入れ歯の設計能力』が必要です。)

(まさに『匠の技』が活かされた金属フレームの部分入れ歯です。)
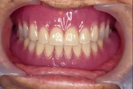
総入れ歯(フルデンチャー)
総入れ歯で肝心なのは顎(顎堤)にぴったりあっていることと咬み合わせがしっかりしていることでしょう。入れ歯で困っている方には原因があります。丁寧に診査し解決策を探りましょう。
当院では治療用の入れ歯を使って顎にぴったりとあった形を導きます。ぴったりあった入れ歯を入れると口元も自然感を取り戻せます。「急がばまわれ」、少し時間をかけて使いやすい入れ歯を手に入れましょう。
また、咬み合わせは癖が出やすいものです。調和のとれた咬み合わせにするには『咬合採得』の技術が必要です。当院では治療ステップを正確に行うため安定した咬み合わせの総入れ歯を装着できます。




(ティッシュコンディショナーを使った治療義歯で形を合わせていきます。金属製のブレードティースを応用することもあります)

(顎の位置を確認するためにフェイスボウトランスファーを行います。)


(出来上がった入れ歯の咬み合わせを再度確認・調整します)





(顎の形にしっかりフィットして咬み合わせが安定した入れ歯ができあがりました)
オーバーデンチャー
オーバーデンチャーとは、残り少なくなった歯牙の歯根を温存して入れ歯の支えにする方法のことです。最近ではインプラントも使われるようになりました。総入れ歯よりも安定性に優れ、「咬みごたえ」も感じることができます。
オーバーデンチャーも設計が重要になってきます。支えになるインプラントや歯根の配置や上下の咬み合わせを配慮した設計が必要です。また、メンテナンスも非常に大切です。
当院では総入れ歯から全顎のインプラントまで手掛けているのでオーバーデンチャーの診査から治療まで安心して受けていただけます。



(磁性アタッチメントを使用したオーバーデンチャー。義歯の真ん中を抜いてもしっかりとフィットしています)


(特殊な樹脂を応用したロケーターアタッチメントを使用したオーバーデンチャー。
MRI検査等を行われている患者様でも使用可能です。)
※当歯科院長は入れ歯やインプラントの分野の執筆を歯科専門誌へ多数行っており、
複雑な症例にも対応できる体制を整えております。















