- HOME
- 症例集
症例集
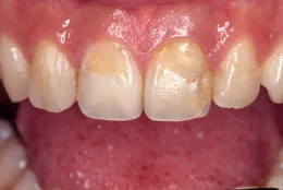
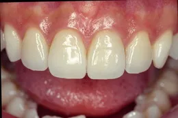
前歯部の審美歯科症例 CaseⅠ
Before


After

当医院では最先端のマテリアルを使用してラミネートベニアやオールセラミッククラウンの治療を行っております。部分的なつめ物が変色した場合や合わなくなった場合はラミネートベニアやオールセラミッククラウンなどで自然な歯の形態や色調を取り戻すことができます。
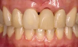
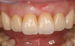
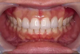
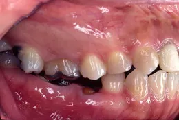
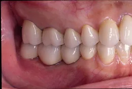
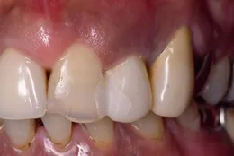
前歯部の審美歯科症例 CaseⅡ
Before


After

左上1番欠損。オールセラミッククラウンブリッジにより治療。ジルコニアコーピング等を使用しブリッジでも従来よりも優れた審美性を再現できます。
矯正歯科治療症例
Before


After

当医院では矯正専門医とのタイアップによって治療をすすめております。セラミックブラケットや舌側矯正にも対応しております。
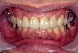
臼歯部のインプラント症例 CaseⅠ
Before


After

奥歯を失うと咬み合わせや歯のポジションが乱れます。インプラント治療と同時に上下の咬み合わせを改善しました。
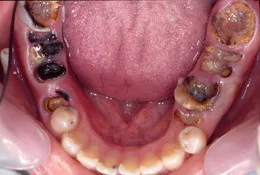
臼歯部のインプラント症例 CaseⅡ
Before


After

奥歯を全て失ってもインプラントの応用でもとの状態に回復できます。そのためには様々な診断が重要です。当医院ではCT撮影のデータをもとにコンピュータ解析を行っております。

CT画像によるシミュレーション
インプラント症例
Before


After

左上2番欠損。単独インプラントにて治療。インプラント手術だけではなく必要があれば歯肉の処置も合わせて行うことが肝心です。
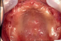
無歯顎インプラント症例(フルマウス症例)
Before


After

治療が難しいとされている無歯顎ケースも治療可能です。全て固定式のすばらしい状態に回復できます。
インプラントを活用した総義歯の症例
Before


After

入れ歯のサポートとしてインプラントを使用できます。磁性アタッチメント等を応用し動きの少ない入れ歯が装着可能です。インプラントの本数も最小限で済むので手術の負担も軽減できます。

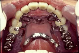
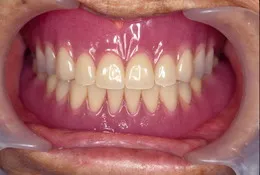
部分入れ歯の症例
Before


After

義歯は一見複雑にみえますが、残されたご自身の歯を有効に使うことによってとても安定した状態になります。

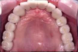
治療後の口腔内写真
総義歯(入れ歯)の症例
Before


After

古い入れ歯でダメージを受けた歯肉を治療義歯により回復させて新しい入れ歯を時間をかけてつくっていきます。















